
In zilele noastre, aspectul fizic este foarte important iar zambetul este una dintre garantiile unei vieti sanatoase, un statut social bun sau a unui aspect fizic ingrijit. Din acest motiv, clinica noastra se concentreaza pe imbunatatirea aspectului dintilor prin tratamente personalizate pentru fiecare pacient, stabilite de comun acord cu acesta. Suntem flexibli la dorintele dumneavoastra si va garantam ca impreuna vom obtine forma finala a dintilor si a zambetului dorit.
Cuvantul "cosmetica", pe care il folosim in mod frecvent in stomatologie, este un indicativ al frumusetii. Care este diferenta dintre ceva estetic si ceva inestetic ?
Un filozof a descris aceasta dupa cum urmeaza: " Daca ceea ce vezi iti place, atunci este frumos". Frumusetea este un termen foarte relativ, subiectiv din punctul de vedere al multor persoane.
Cosmetica dentara se bazeaza pe perceptia vizuala. In acest context, culoarea, conturul si caracsteristicile dintiilor, simetria si armonia lor, devin foarte importante.
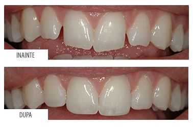
Pentru refacerea zambetului sunt necesare mai multe proceduri de estetica dentara precum coroanele, fatetele dentare din portelan si zirconiu, dar si albirea dintilor cu laser.
Probleme frecvente in cosmetica dentara:
- Decolorarea
- Dinti rupti
- Dinti inghesuiti
- Suprafetele radiculare care devin vizibile din cauza unor afectiuni
- Abraziune dentara
- Leziuni
Albirea dintilor
Se poate face acasa, sau la cabinet. Albirea profesionista se poate face doar in cabinetul medicului stomatolog insa este o procedura care vine si cu ceva riscuri, in special daca dintii dumneavoastra sunt sensibili.
Conturarea cosmetica
Restaurarea unui dinte natural cu abraziuni fine se face corectand marginile si corectand ciobiturile dintilor.

